Intelligent Platform

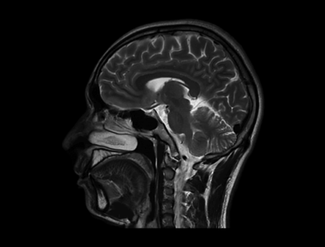
자체 개발된 시밍(Shimming) 기술을 적용한 uMR® 580은 탁월한 자기장 균일성을 갖추고 있습니다.
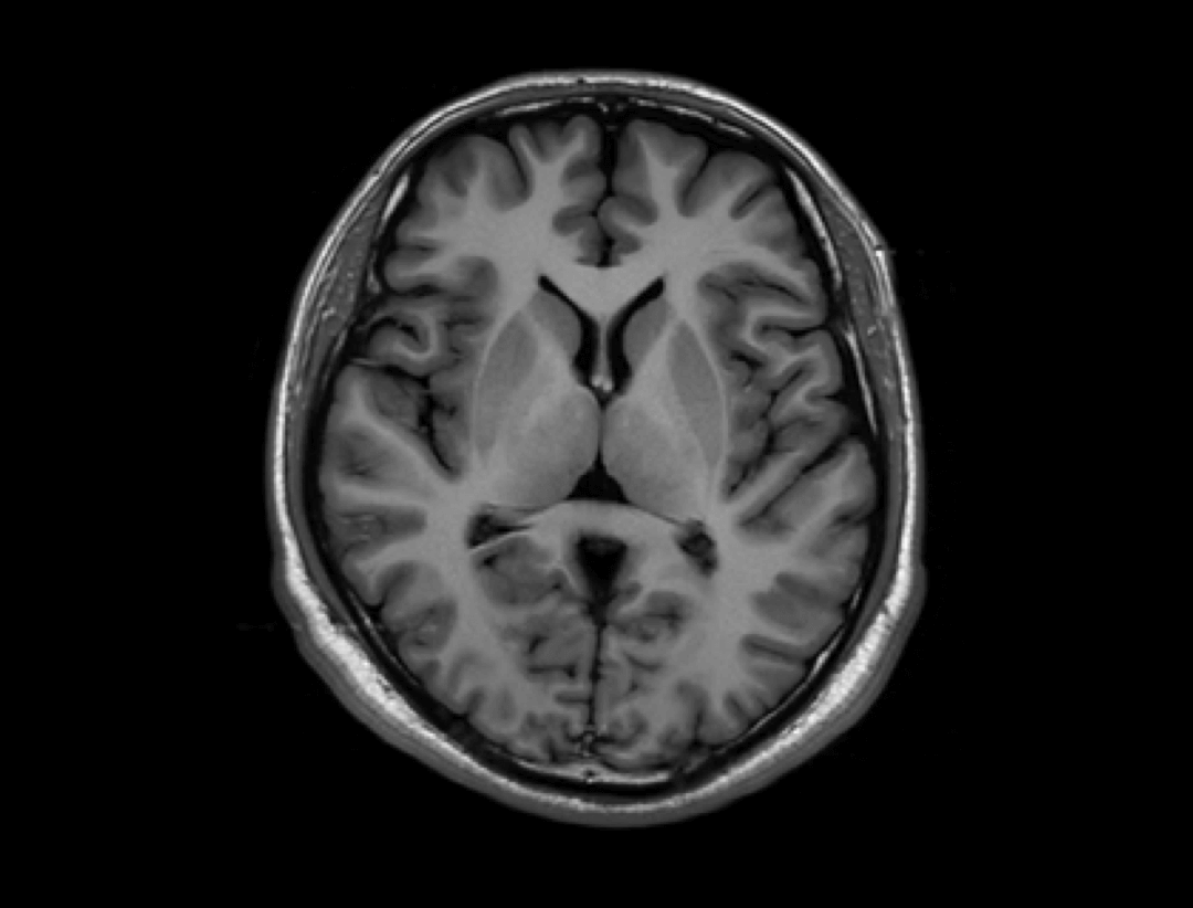
지능적 와류 전류 보상 기술을 적용한 uMR® 580은 고성능 그래디언트를 갖추고 있습니다.
Intelligent 1.5T MR
uMR® 580는 혁신적인 디지털 플랫폼을 장착하여 안정적인 시스템 운영, 신속한 영상 촬영, 스마트한 스캔 프로세스, 그리고 효율적인 장치 관리를 실현하여 유연하고 효율적인 사용자 경험을 제공합니다.
지능형 플랫폼
지능형 검사
지능적 가속화
지능적인 시스템 관리
자체 개발된 시밍(Shimming) 기술을 적용한 uMR® 580은 탁월한 자기장 균일성을 갖추고 있습니다.
지능적 와류 전류 보상 기술을 적용한 uMR® 580은 고성능 그래디언트를 갖추고 있습니다.
uMR® 580는 모든 해부학적 영역에서 고속 영상을 제공하여 촬영 시간을 크게 단축시킵니다.
가속 기술을 통해 uMR® 580은 스캔 효율을 크게 향상시키고 환자 처리량을 증가시킬 수 있습니다.
실시간 구성 요소 모니터링 및 추세 분석으로 이상을 조기에 감지하여 시스템 고장을 최소화하며, 시스템 신뢰성을 크게 향상시킵니다.
시스템의 운영 상태를 자동으로 모니터링합니다.
검사 간 시간 동안 시스템은 자동으로 대기 모드로 전환되어 전력을 절약합니다.
작동 모드로 다시 전환하는 데는 최대 5초가 소요됩니다.
지능적 시스템 아키텍처는 우수한 시스템 안정성을 제공합니다.