01

High-Definition Field of Vision on Imaging

“I was confirmed in stage 4 lymphoma by my initial visit to hospital. Dr. Tang comforted me that there is no need to be too nervous -- in fact stage 4 lymphoma is not advanced cancer and it is very likely to heal” read in the book Death to Life from Li Kaifu. When he realized that his life was "staged" but he decided to embrace the world anyway.

The TNM staging system is currently the most widely used staging system in the world. It can provide relevant information about the location, involvement and spread of the primary tumor through imagological examination methods. It’s one of the most important examination methods to determine cancer staging. Integrated PET/MR perfectly combines molecular functions and structural images and serves as a vital means for the clinical diagnosis of tumors, cardiovascular disease, neurological disease, pediatric disease, and inflammatory disease.

However, since the launch of integrated PET/MR more than ten years ago, there have been limitations on scan efficiency. The short AFOV of PET fails to meet the needs of whole-body imaging, so it’s been necessary to scan patients over multiple bed positions, which increases the scan time and reduces patient throughput.

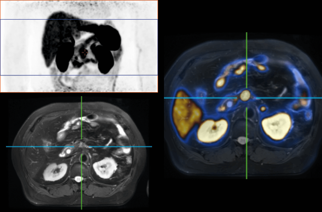
Compared with the conventional PET system with AFOV ranging between 20cm and 25cm, the 32cm long AFOV not only improves the sensitivity of the system, but also basically covers main organs of the whole body and the regional lymphatic system where metastasis may occur, and makes it possible to realize cancer TN staging in one bed position.

Traditionally, a PET/MR scan of a tumor patient takes about 35 to 50 minutes. The long AFOV can further optimize the PET/MR tumor scanning scheme. In other words, it can optimize the decision about whether to scan the whole body based on whether the tumor patient has regional lymphatic metastasis after regional PET/MR scan, potentially saving scan time for patients without metastasis.

In August 2019, Peking Cancer Hospital introduced United Imaging Healthcare's integrated PET/MR to make an in-depth exploration and optimization of cancer TNM staging under long AFOV. More than 500 examples of scanning various organs proved that long AFOV PET/MR could greatly increase the scan range over one bed position and improve the efficiency of cancer TNM staging.

02
Clinical Cases
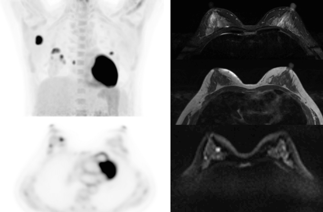
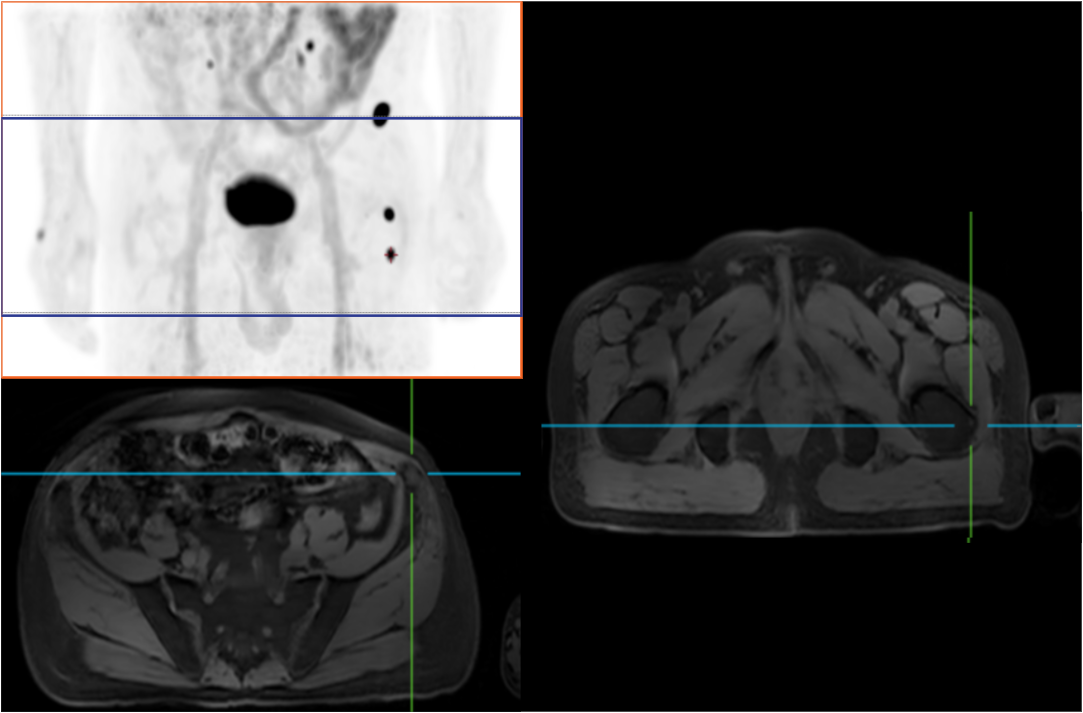
The following are the cases of optimized TNM staging of breast cancer, esophageal cancer, prostate cancer and other diseases under the long axial field of "spatio-temporal integration" ULTRA-clear TOF PET/MR.  Thanks to Capital Medical University Xuanwu Medical Treatment for providing the image.